Opgeladen: 28-9-2018
Opgeborgen in: Vitamines, Vitamine B
Translation: Pantethine treatment reduces visceral fat and fatty liver (29-9-2018)

Pantethinekuurtje haalt vet uit de lever en de buik

Pantethinekuurtje haalt vet uit de lever en de buik
Van alle soorten vet in het menselijke lichaam is buikvet het meest riskant voor de gezondheid. Suppletie met de vitamine B5-analoog pantethine kan de hoeveelheid buikvet verlagen. Dat suggereert een bijna vergeten kleine humane studie, die onderzoekers van Aoyama Gakuin University in Japan in 2000 publiceerden in de Journal of Atherosclerosis and Thrombosis.

Studie
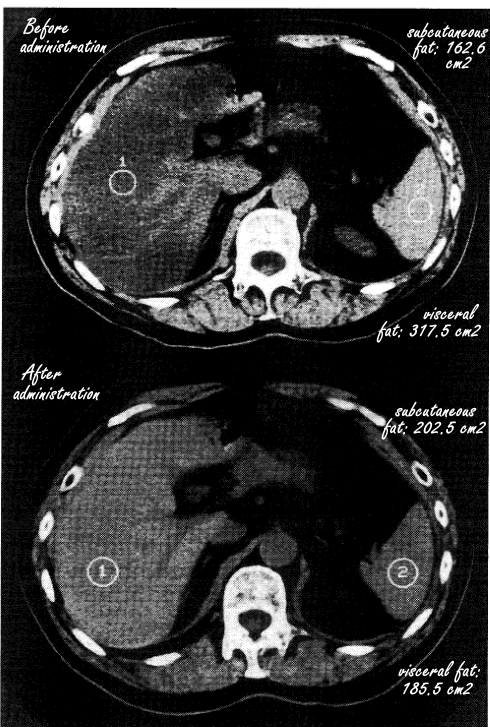
In 2000 publiceerden onderzoekers van Aoyama Gakuin University een kleine verkennende studie, waarin ze 16 proefpersonen gedurende minstens 6 maanden elke dag een dosis van 600 milligram pantethine lieten slikken. De proefpersonen hadden een verhoogde concentratie triglyceriden in hun bloed van 150 milligram per deciliter of hoger.

De onderzoekers gebruikten geen controlegroep. Ze maakten voor en na de suppletieperiode scans van buik van de proefpersonen.

Resultaten
Tijdens de suppletieperiode verminderde volgens scans de hoeveelheid vet in de lever, en nam bovendien de hoeveelheid buikvet significant af. Op de scans onder de tabel zie je scans van een kennelijk representatieve proefpersoon.


Pantethinekuurtje haalt vet uit de lever en de buik


Pantethinekuurtje haalt vet uit de lever en de buik



Conclusie
De conclusie van de Japanners ligt voor de hand. "Pantethine improved fatty liver with hypertriglyceridemia and reduced visceral fat", schrijven ze.

Beetje zeuren
Tegenover de afname van het buikvet staat misschien een toename van het onderhuidse vet. (Yep, dat laatstgenoemde effect was niet statistisch significant, maar dat was bij een onderzoek met meer proefpersonen wellicht anders geweest.) Het zou verrektes interessant zijn om eens te kijken naar het effect van pantethine-suppletie bij mensen die, als gevolg van een afslankdieet of een bewegingsprogramma, minder kilocalorieën binnenkrijgen dan ze verbranden.

Bron:
J Atheroscler Thromb. 2000;7(1):55-8.

Meer:
Megadosis pantethine halveert tumorgroei in dierstudie (26-9-2018)
Als een verbetering van je dieet je cholesterol niet verlaagt, dan is er nog pantethine (19-5-2018)


Aroniabessen bestrijden buikvet

Olive Leaf Extract reduceert buikvet

Met een dun middel leef je langer

Aroniabessen bestrijden buikvet
Volgens deze dierstudie uit Japan vergroten de fenolen in aronia de gevoeligheid voor insuline.

Olive Leaf Extract reduceert buikvet
Gesponsorde dierstudie.

Met een dun middel leef je langer
Als mensen chronisch uithongert leven ze twintig tot dertig procent langer. Amerikaanse onderzoekers hebben ontdekt dat een deel van het levensverlengende effect van caloric restriction wordt veroorzaakt door het verminderen van de hoeveelheid buikvet.