Ergogenics

  [Definitie:] "An ergogenic aid is any substance or phenomenon that enhances performance." (Wilmore and Costill)

  Nieuwsbrief over doping, supplementen, voeding en training

  Afslankmedicijnen       Afslanken       Afslanksupplementen       Clenbuterol    

0 6 - 0 6 - 2 0 0 4

Hoge doses clenbuterol schadelijk voor testes

Clenbuterol
We weten niet of het ook kan gebeuren bij doses die humane chemische sporters gebruiken, maar wel dat het kan gebeuren bij de doses die de hormoonmaffia aan landbouwdieren geeft. Spaanse onderzoekers vonden het effect bij varkens, die drie maanden lang clenbuterol door hun voer hadden gekregen. Het spieropbouwende en vet-afbrekende middel had hun testes beschadigd.

De Spaanse onderzoekers waren patholooganatomen. Ze dienden het verboden middel toe, slachtten de dieren, en bestudeerden vervolgens hun testes onder de microscoop. Ze vergeleken die met weefsels van varkens die geen clenbuterol hadden gekregen.

We weten niet of het ook kan gebeuren bij doses die humane chemische sporters gebruiken, maar wel dat het kan gebeuren bij de doses die de hormoonmaffia aan landbouwdieren geeft. Spaanse onderzoekers vonden het effect bij varkens, die drie maanden lang clenbuterol door hun voer hadden gekregen. Het spieropbouwende en vet-afbrekende middel had hun testes beschadigd.
De dosering die de varkens hadden gekregen was fors. De clenbuterol was vermengd door hun voer in een concentratie van 1 ppm. De dieren aten gemiddeld 2.3 kilo voer per dag, en kregen dus 2.3 milligram clen per dag binnen. Het lichaamsgewicht van de dieren was gelijk aan dat van een volwassen man.

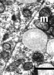
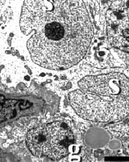
De testes produceren zaadcellen in de seminiferous tubules. Daar vind je de cellen van Sertoli (s) die de cellen voeden waaruit de spermacellen ontstaan (g). Hiernaast zie je hoe dat er bij gezonde dieren uitziet.

We weten niet of het ook kan gebeuren bij doses die humane chemische sporters gebruiken, maar wel dat het kan gebeuren bij de doses die de hormoonmaffia aan landbouwdieren geeft. Spaanse onderzoekers vonden het effect bij varkens, die drie maanden lang clenbuterol door hun voer hadden gekregen. Het spieropbouwende en vet-afbrekende middel had hun testes beschadigd.
De zaadvormende cellen bij de clenbuterolvarkens waren gedegenereerd. Je ziet zo'n afgetakelde cel bij de pijlpunt.

We weten niet of het ook kan gebeuren bij doses die humane chemische sporters gebruiken, maar wel dat het kan gebeuren bij de doses die de hormoonmaffia aan landbouwdieren geeft. Spaanse onderzoekers vonden het effect bij varkens, die drie maanden lang clenbuterol door hun voer hadden gekregen. Het spieropbouwende en vet-afbrekende middel had hun testes beschadigd.
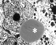
In de voedende Sertolicellen waren bij de dieren die clnebuterol hadden gekregen bovendien vetdruppeltjes verschenen. Zo'n druppel is hiernaast met een * aangegeven.

We weten niet of het ook kan gebeuren bij doses die humane chemische sporters gebruiken, maar wel dat het kan gebeuren bij de doses die de hormoonmaffia aan landbouwdieren geeft. Spaanse onderzoekers vonden het effect bij varkens, die drie maanden lang clenbuterol door hun voer hadden gekregen. Het spieropbouwende en vet-afbrekende middel had hun testes beschadigd.
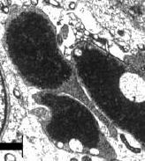
Zaadcellen ontstaan uit stamcellen en moeten dan nog rijpen. In die fase zet de zaadcel allerlei genen aan of uit. Dat heet 'imprinting'. Gaat dat fout, dan stijgt in de volgende generatie de kans op ziekten als suikerziekte en vetzucht. Een nog niet-uitgerijpte zaadcel heet een spermatide. Hiernaast zie je een spermatide in een gezond varken.

We weten niet of het ook kan gebeuren bij doses die humane chemische sporters gebruiken, maar wel dat het kan gebeuren bij de doses die de hormoonmaffia aan landbouwdieren geeft. Spaanse onderzoekers vonden het effect bij varkens, die drie maanden lang clenbuterol door hun voer hadden gekregen. Het spieropbouwende en vet-afbrekende middel had hun testes beschadigd.
Bij de clenbuterolvarkens waren er in de spermatiden echter afwijkingen ontstaan. De spermatide hiernaast, gevonden in een varken dat clenbuterol had gekregen, heeft bijvoorbeeld twee celkernen.

We weten niet of het ook kan gebeuren bij doses die humane chemische sporters gebruiken, maar wel dat het kan gebeuren bij de doses die de hormoonmaffia aan landbouwdieren geeft. Spaanse onderzoekers vonden het effect bij varkens, die drie maanden lang clenbuterol door hun voer hadden gekregen. Het spieropbouwende en vet-afbrekende middel had hun testes beschadigd.
Ook in de volgroeide zaadcellen, de spermatozoa, vonden de onderzoekers afwijkingen. De zaadcellen - de zwarte klodders - hiernaast hebben bijvoorbeeld vacuoles die daarin niet thuis horen.

We weten niet of het ook kan gebeuren bij doses die humane chemische sporters gebruiken, maar wel dat het kan gebeuren bij de doses die de hormoonmaffia aan landbouwdieren geeft. Spaanse onderzoekers vonden het effect bij varkens, die drie maanden lang clenbuterol door hun voer hadden gekregen. Het spieropbouwende en vet-afbrekende middel had hun testes beschadigd.
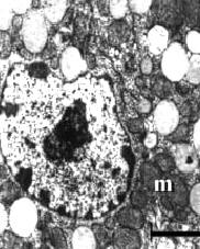
De clenbuterol had ook in de cellen van Leydig - de cellen in de testes die testosteron produceren - huisgehouden. Hieronder zie je Leydigcellen in een onbehandeld varken. Het rondje met een sterretje is weer een vetdruppeltje.

We weten niet of het ook kan gebeuren bij doses die humane chemische sporters gebruiken, maar wel dat het kan gebeuren bij de doses die de hormoonmaffia aan landbouwdieren geeft. Spaanse onderzoekers vonden het effect bij varkens, die drie maanden lang clenbuterol door hun voer hadden gekregen. Het spieropbouwende en vet-afbrekende middel had hun testes beschadigd.
De clenbuterol vermenigvuldigde het aantal vetdruppeltjes. Vetdepots in andere cellen dan vetcellen zijn meestal geen goed teken. Die vetdepots kunnen het functioneren van een cel ontregelen.

We weten niet of het ook kan gebeuren bij doses die humane chemische sporters gebruiken, maar wel dat het kan gebeuren bij de doses die de hormoonmaffia aan landbouwdieren geeft. Spaanse onderzoekers vonden het effect bij varkens, die drie maanden lang clenbuterol door hun voer hadden gekregen. Het spieropbouwende en vet-afbrekende middel had hun testes beschadigd.
Het ziet ernaar uit dat clenbuterol de cellen harder laat werken dan goed voor ze was. Dat maken de onderzoekers tenminste op uit het effect van het middel op de mitochondria. Hiernaast zie je Leydigcellen van niet-behandelde varkens. De m staat voor mitochondrium.

We weten niet of het ook kan gebeuren bij doses die humane chemische sporters gebruiken, maar wel dat het kan gebeuren bij de doses die de hormoonmaffia aan landbouwdieren geeft. Spaanse onderzoekers vonden het effect bij varkens, die drie maanden lang clenbuterol door hun voer hadden gekregen. Het spieropbouwende en vet-afbrekende middel had hun testes beschadigd.
De Spanjaarden stopten bij de helft van de clenvarkens de toediening van het stimulerende middel twee weken voor de slacht. Ze schrijven in hun publicatie dat de twee weken voor een beetje herstel zorgden. Een klein beetje.


We weten niet of het ook kan gebeuren bij doses die humane chemische sporters gebruiken, maar wel dat het kan gebeuren bij de doses die de hormoonmaffia aan landbouwdieren geeft. Spaanse onderzoekers vonden het effect bij varkens, die drie maanden lang clenbuterol door hun voer hadden gekregen. Het spieropbouwende en vet-afbrekende middel had hun testes beschadigd.


De onderzoekers denken dat clenbuterol de effecten van stress imiteert. Goede, kortdurende stress, verhoogt de aanmaak van testosteron. De adrenaline prikkelt de beta-adrenoreceptoren in de testes, waardoor de cellen harder gaan werken.

Slechte, langdurige stress, doet het tegenovergestelde. Als de beta-adrenoreceptoren langdurig prikkels krijgen, dan draaien de testescellen juist de soep in. De langdurige toediening van de forse doses clenbuterol hebben ongeveer hetzelfde effect gehad als chronische stress, vermoeden de onderzoekers. Net als adrenaline prikkelt clenbuterol de beta-adrenorceptoren.

Blanco A, Flores-Acuna F, Roldan-Villalobos R, Monterde JG. Testicular damage from anabolic treatments with the beta(2)-adrenergic agonist clenbuterol in pigs: a light and electron microscope study. Vet J. 2002 May;163(3):292-8. [Link]

Navigatie

Nieuws

Contact

Over ons

Dossiers

Zoeken