Ergogenics

  [Definitie:] "An ergogenic aid is any substance or phenomenon that enhances performance." (Wilmore and Costill)

  Nieuwsbrief over doping, supplementen, voeding en training

  Vergeten anabolen       Injecties & hygiëne       Anabolica & risico's       Anabolica & studies    

2 0 - 1 2 - 2 0 0 7

  Bodybuilder krijgt gezwel in triceps na injectie met anabolen (Sportverletz Sportschaden. 2007 Dec;21(4):195-8.)
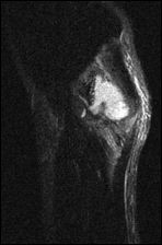
Een gezwel van elf bij zeven bij vier centimeter. Dat vonden artsen van de medische universiteit van Graz - gelegen in Oostenrijk, niet ver van de geboorteplaats van Arnold Schwarzenegger - in de linker triceps van een 27-jarige bodybuilder.
Even dachten de artsen dat ze te maken hadden met een tumor, maar al snel kwamen ze tot de conclusie dat het gezwel een abces was, veroorzaakt door een bacteriele infectie.
De bodybuilder was 27 jaar oud. Hij trainde al zeven jaar, vier of vijf keer per week. Hij had vier maanden geleden anabolen gebruikt, die hij in zijn schouder had
Bodybuilder krijgt gezwel in triceps na injectie met anabolen
geinjecteerd. Naderhand was er geleidelijk onder de spuitplek een gezwel ontstaan. Het was nu duidelijk zichtbaar en bovendien pijnlijk. [Hiernaast zie je een MRT van het gezwel in een zij-aanzicht - red.] De bodybuilder zweeg erover. Hij was bang dat hij de politie op zijn dak zou krijgen als hij erover sprak. Tegenover de artsen noemde de bodybuilder zijn anaboleninjecties pas nadat ze hem hadden uitgelegd wat 'beroepsgeheim' precies betekent.
De artsen verwijderden het gezwel en gaven de bodybuilder antibiotica. Zes weken lang slikte de man vijfhonderd milligram ciprofloxacin per dag.
In het gezwel van de bodybuilder vonden de onderzoekes de bacterie Pseudomonas fluorescens. Dat is een bacterie die vooral zit op planten. Onderzoekers vinden hem soms in ontlasting en wasmachines. In het gezwel vonden de Oostenrijkers ook een Erwinia-bacterie. Ook die vind je meestal op planten.
Waar de bacterie-infectie precies vandaan komt weten de onderzoekers niet. Misschien waren de naalden van de bodybuilder vies. Of misschien was de injectievloeistof die de man had gebruikt verontreinigd.
De bodybuilder zelf is trouwens weer helemaal hersteld. Hij traint weer. Naar eigen zeggen zonder anabolen.

2 9 - 1 2 - 2 0 0 7

  Genomicstechnologie versus dopingzondaar (Ann Ig. 2007 Jul-Aug;19(4):303-14.)
Onderzoekers zien het helemaal goedkomen met de dopingcontroles. Waar de jacht op metabolieten in de urine faalt, moet de genomicstechnologie slagen. Dat houdt in dat dopingjagers cellen uit het lichaam gaan halen, en in het genetisch materiaal gaan zoeken naar de effecten van verboden middelen.
Onderzoekers van het Romeinse Istituto Universitario Scienze Motorie nemen alvast een voorschot op de toekomst in dit artikel. Ze lieten nandrolon, IGF-1 en groeihormoon los op cellijnen, en keken welke genen in die cellen harder of juist zachter gingen werken.
Nandrolon zorgt voor meer androgeenreceptor-eiwit, meer progesteronreceptor-eiwit meer van het enzym steroid-5-alfa-reductase, PPAR-alfa en meer Janus-kinase-2, ontdekten de Italianen. In de ene cellijn zorgt nandrolon voor meer estradiolreceptor-eiwit, in de andere lijn gaat de aanmaak van dat eiwit juist omlaag.
IGF-1 zorgt voor meer progesteronreceptor-eiwit, meer EPO-receptor-eiwit, meer steroid-5-alfa-reductase en minder van de transcriptiefactor GATA-1.
Groeihormoon zorgt voor meer steroid-5-alfa-reductase, meer groeihormoonreceptor-eiwit, minder androgeenreceptor-eiwit en minder progesteronreceptor-eiwit.
"This pilot study shows the potential of molecular biology-based strategies in anti-doping controls", aldus de Italianen in hun abstract.
De boodschap voor chemische sporters is duidelijk. Om het met Ray Bradbury te zeggen: Something wicked your way comes.

2 3 - 1 2 - 2 0 0 7

  Anabolenlab(je) in Sydney ontmanteld (ABC News Dec 21, 2007) [Offline]
In het Australische Sydney heeft de politie in een raid een anabolenlab gesloten en een man van 29 jaar opgepakt.
"Officers seized 25 bottles of liquid, 80 grams of packaged white powder and 370 vials, all containing either anabolic steroids or growth hormones. They also seized cash and equipment used to produce and manufacture steroids."

Navigatie

Nieuws

Contact

Over ons

Dossiers

Zoeken